تومور | از شناخت انواع و تشخیص تا انتخاب بهترین جراح
حتی شنیدن کلمه تومور میتواند نگرانکننده باشد اما درک درست آن، اولین گام برای مدیریت و درمان موفقیتآمیز است. تومور به معنای رشد غیرطبیعی سلولها در بخشی از بدن بوده و هر تودهای لزوما خطرناک نیست. کلید اصلی در مواجهه با این عارضه، تشخیص دقیق و انتخاب یک مسیر درمانی صحیح زیر نظر پزشکی مجرب است. برای مثال، در موارد پیچیدهای مانند تومور مغزی، تخصص و تجربه جراح نقشی حیاتی در نتیجه درمان دارد. دکتر محسن القاسی با سالها تجربه در زمینه جراحی انواع تومورهای مغز و اعصاب، به بیماران کمک میکند تا با اطمینان خاطر این مسیر را طی کنند.
آشنایی با انواع تومور
تومورها بر اساس ویژگیهای سلولی و رفتارشان به دستههای مختلفی تقسیم میشوند که شناخت آنها برای انتخاب بهترین رویکرد درمانی ضروری است. اصلیترین دستهبندی، شامل تومورهای خوشخیم و بدخیم میشود که هر کدام رفتار متفاوتی دارند. علاوه بر این، محل قرارگیری توده مانند مغز یا ستون فقرات نیز در تعیین نوع و روش درمان تاثیرگذار است. تشخیص صحیح نوع تومور توسط متخصص، نقشه راه درمان را مشخص میسازد. در ادامه به معرفی سه دسته از تومورها میپردازیم.
تومورهای خوشخیم (Benign Tumors)
این تومورها رشد آهستهای دارند و سلولهای آنها به سایر نقاط بدن گسترش پیدا نمیکنند. با این حال، یک تومور خوشخیم در صورتی که در ناحیهای حساس مانند مغز قرار گیرد، میتواند با فشار آوردن به بافتهای اطراف، علائم جدی ایجاد کند. تومور مننژیوم (Meningioma) یکی از نمونههای رایج این دسته است که درمان موفقیتآمیز آن به تجربه جراح در کنترل عوارض بستگی دارد.
تومورهای بدخیم (Malignant Tumors)
تومورهای بدخیم یا سرطانی، دارای رشد سریع و تهاجمی هستند و میتوانند به بافتهای مجاور و دیگر اعضای بدن نفوذ کنند (متاستاز). مدیریت این نوع تومورها به یک برنامه درمانی چندجانبه شامل جراحی، شیمیدرمانی یا رادیوتراپی نیاز دارد. تومورهای گلیال (Glial Tumors) از جمله تومورهای بدخیم شایع سیستم عصبی مرکزی به شمار میروند که جراحی دقیق آنها برای حذف حداکثری توده اهمیت فراوانی دارد.
تومور مغزی و قاعده جمجمه
این دسته از تومورها به دلیل قرارگیری در حساسترین نقطه بدن، چالشهای منحصربهفردی را برای جراحان ایجاد میکنند. تومورهای هیپوفیز (Pituitary Tumors) یا تومورهای سی پی انگل (CPAngle) نمونههایی از این گروه هستند که به دلیل نزدیکی به اعصاب حیاتی و عروق خونی، نیازمند تکنیکهای جراحی پیشرفته مانند آندوسکوپی و جراحی قاعده جمجمه هستند. مهارت بهترین جراح تومور در این زمینه، ضامن حفظ عملکردهای حیاتی بیمار است.

چه عواملی باعث ایجاد تومور میشوند؟
اگرچه علت دقیق شکلگیری بسیاری از تومورها هنوز ناشناخته باقی مانده است، اما دانشمندان مجموعهای از عوامل خطرساز را شناسایی کردهاند که میتوانند احتمال رشد غیرطبیعی سلولها را افزایش دهند. این عوامل ترکیبی از استعداد ژنتیکی و تاثیرات محیطی هستند. درک این موارد میتواند به پیشگیری و تشخیص زودهنگام کمک شایانی کند.
مهمترین عوامل خطرساز شناساییشده عبارتاند از:
- استعداد ژنتیکی و سابقه خانوادگی: وجود برخی سندرمهای ژنتیکی یا سابقه تومور در خانواده
- قرار گرفتن در معرض تشعشعات: تابشهای یونیزان مانند اشعه ایکس یا رادیوتراپیهای قبلی
- تماس با مواد شیمیایی خاص: برخی مواد صنعتی و آلایندههای محیطی
- افزایش سن: با بالا رفتن سن، خطر ابتلا به بسیاری از انواع تومور افزایش مییابد
- سیستم ایمنی ضعیف: نقص در عملکرد سیستم ایمنی بدن
علائم هشداردهنده تومور که نباید نادیده گرفت
علائم تومور بسیار گسترده هستند و به نوع، اندازه و محل قرارگیری توده بستگی دارند. بسیاری از این نشانهها عمومی بوده و ممکن است با بیماریهای دیگر اشتباه گرفته شوند. با این حال، بروز ناگهانی یا تشدید برخی علائم خاص میتواند یک زنگ خطر جدی باشد. بهویژه در مورد تومور مغزی، نشانهها میتوانند به سرعت پیشرفت کنند و نیازمند بررسی فوری توسط یک متخصص هستند. توجه به این علائم و مراجعه بهموقع به پزشک، کلید اصلی برای تشخیص تومور در مراحل اولیه به شمار میرود.
برخی از علائم که در صورت تداوم، باید به پزشک مراجعه کرد:
- سردردهای شدید و مداوم: سردردهایی که الگوی آنها تغییر کرده و به درمانهای معمول پاسخ نمیدهند
- تغییرات عصبی ناگهانی: بروز تشنج، ضعف یا بیحسی در یک طرف بدن، مشکلات تعادل یا سرگیجه
- مشکلات حسی: اختلال در بینایی (مانند تاری دید یا دوبینی)، مشکلات شنوایی یا تغییر در حس بویایی
- کاهش وزن بیدلیل: از دست دادن وزن قابل توجه بدون تغییر در رژیم غذایی یا فعالیت بدنی

مراحل کلیدی در تشخیص تومور
فرایند تشخیص تومور یک مرحله حیاتی است که مسیر درمان را بهطور کامل مشخص میکند. تشخیص زودهنگام و دقیق، شانس موفقیت درمان را به میزان چشمگیری افزایش میدهد. یک جراح مغز و اعصاب متبحر با بهرهگیری از مجموعهای از روشهای تشخیصی، به درک کاملی از ابعاد، نوع و موقعیت توده دست پیدا میکند. در ادامه به بررسی سه روش اصلی برای تشخیص تومور میپردازیم.
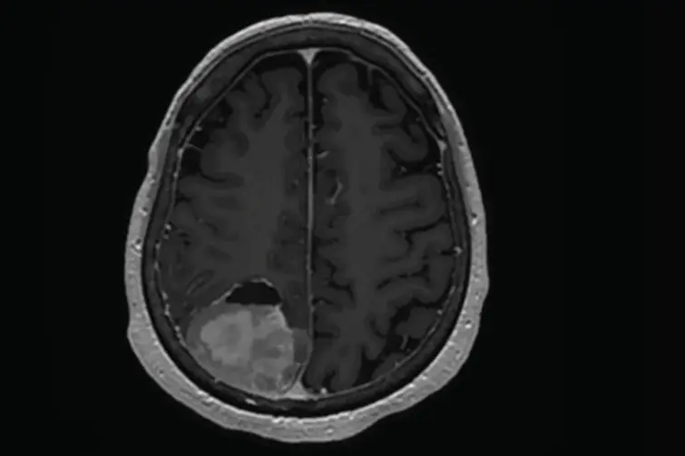
تصویربرداری پزشکی (Medical Imaging)
اولین و مهمترین ابزار برای تشخیص تومور، روشهای تصویربرداری پیشرفته هستند. امآرآی (MRI) و سیتی اسکن (CT Scan) به پزشک اجازه میدهند تا تصویری دقیق از ساختار داخلی بدن به دست آورد. بهویژه در موارد مشکوک به تومور مغزی، MRI با جزئیات بالا میتواند اطلاعات کاملی از محل، اندازه و تاثیر توده بر بافتهای اطراف ارائه دهد و به جراح در برنامهریزی کمک کند.
نمونهبرداری یا بیوپسی (Biopsy)
قطعیترین روش برای تعیین ماهیت یک تومور، نمونهبرداری یا بیوپسی است. در این فرایند، بخش کوچکی از بافت توده توسط جراح برداشته میشود و برای تحلیل آسیبشناسی به آزمایشگاه فرستاده میشود. نتیجه بیوپسی مشخص میکند که تومور خوشخیم است یا بدخیم و درجه بدخیمی آن چقدر خواهد بود. این اطلاعات برای انتخاب بهترین استراتژی درمانی کاملا ضروری به حساب میآید.
آزمایشهای عصبی و معاینات بالینی
هنگامی که احتمال وجود تومور مغزی یا تومور در ستون فقرات مطرح باشد، معاینات عصبی نقش کلیدی ایفا میکنند. پزشک با ارزیابی مواردی مانند قدرت عضلانی، حس، تعادل، بینایی و حافظه، میتواند عملکرد بخشهای مختلف سیستم عصبی را بسنجد. این معاینات به تعیین ناحیه درگیر مغز یا نخاع کمک کرده و اطلاعات ارزشمندی را پیش از جراحی در اختیار تیم درمانی قرار میدهد.
چگونه بهترین جراح تومور را انتخاب کنیم؟
انتخاب جراح، مهمترین تصمیمی است که بیمار و خانوادهاش پس از تشخیص تومور میگیرند. مهارت، دانش و تجربه جراح تاثیر مستقیمی بر نتیجه نهایی جراحی و کیفیت زندگی بیمار پس از درمان دارد. این انتخاب بهویژه در جراحیهای پیچیدهای مانند تومور مغزی یا تومورهای قاعده جمجمه، اهمیت دوچندان پیدا میکند. یک جراح برجسته از نظر فنی توانمند است و توانایی مدیریت کل فرایند درمان را نیز دارد.
نکات زیر به شما در انتخاب بهترین جراح تومور کمک میکند:
- تخصص و فوق تخصص: جراح باید در زمینه جراحی مغز و اعصاب و بهطور خاص در نوع تومور شما تخصص داشته باشد
- تجربه و کارنامه موفق: تعداد جراحیهای موفق مشابهی که جراح انجام داده، یک معیار مهم است
- آشنایی با تکنیکهای نوین: تسلط بر روشهای کمتهاجمی مانند جراحی آندوسکوپیک مغز
- فعالیت علمی و پژوهشی: عضویت در انجمنهای معتبر و داشتن سوابق پژوهشی نشاندهنده بهروز بودن دانش پزشک است
- توانایی برقراری ارتباط: جراحی که با حوصله به سوالات بیمار پاسخ میدهد و اعتماد او را جلب میکند

درمان تخصصی تومور با دکتر محسن القاسی
مسیر رویارویی با با تشخیص تومور به روش صحیح شروع میشود و موفقیت در درمان آن تا حد زیادی وابسته به مهارت و تخصص جراح میباشد. بنابراین انتخاب بهترین جراح تومور به معنای سپردن سلامت خود به دستان فردی است که دانش، تجربه و تعهد را برای رسیدن به بهترین نتیجه به کار میگیرد.
دکتر محسن القاسی، جراح متخصص مغز و اعصاب، دیسک و ستون فقرات با گذراندن دورههای تکمیلی متعدد در زمینه جراحیهای پیشرفته، بهترین جراح در این حوزه هستند. ایشان با کارنامهای شامل هزاران جراحی موفق و تسلط بر جدیدترین تکنیکهای جراحی، آماده ارائه خدمات مشاوره و درمان به بیماران گرامی میباشند.